Tsc1-mTORC1 signaling controls striatal dopamine release and cognitive flexibility.

Kosillo P
Ahmed KM
Agopyan-Miu AHCW
Wong CD
Conyers L
Threlfell S
Bateup HS

Brain cells that use the chemical messenger dopamine are important for learning, memory and decision making. Here, we show using animals that dopamine cells need a molecular building block called Tsc1 to fulfil these roles. Loss of Tsc1 changes the structural and electrical properties of dopamine cells, so that they do not release enough dopamine. In turn, flexible learning is impaired.

Scientific Abstract

Tuberous Sclerosis Complex (TSC) is a neurodevelopmental disorder caused by mutations in TSC1 or TSC2, which encode proteins that negatively regulate mTOR complex 1 (mTORC1). TSC is associated with significant cognitive, psychiatric, and behavioral problems, collectively termed TSC-Associated Neuropsychiatric Disorders (TAND), and the cell types responsible for these manifestations are largely unknown. Here we use cell type-specific Tsc1 deletion to test whether dopamine neurons, which modulate cognitive, motivational, and affective behaviors, are involved in TAND. We show that loss of Tsc1 and constitutive activation of mTORC1 in dopamine neurons causes somatodendritic hypertrophy, reduces intrinsic excitability, alters axon terminal structure, and impairs striatal dopamine release. These perturbations lead to a selective deficit in cognitive flexibility, preventable by genetic reduction of the mTOR-binding protein Raptor. Our results establish a critical role for Tsc1-mTORC1 signaling in setting the functional properties of dopamine neurons, and indicate that dopaminergic dysfunction may contribute to cognitive inflexibility in TSC.

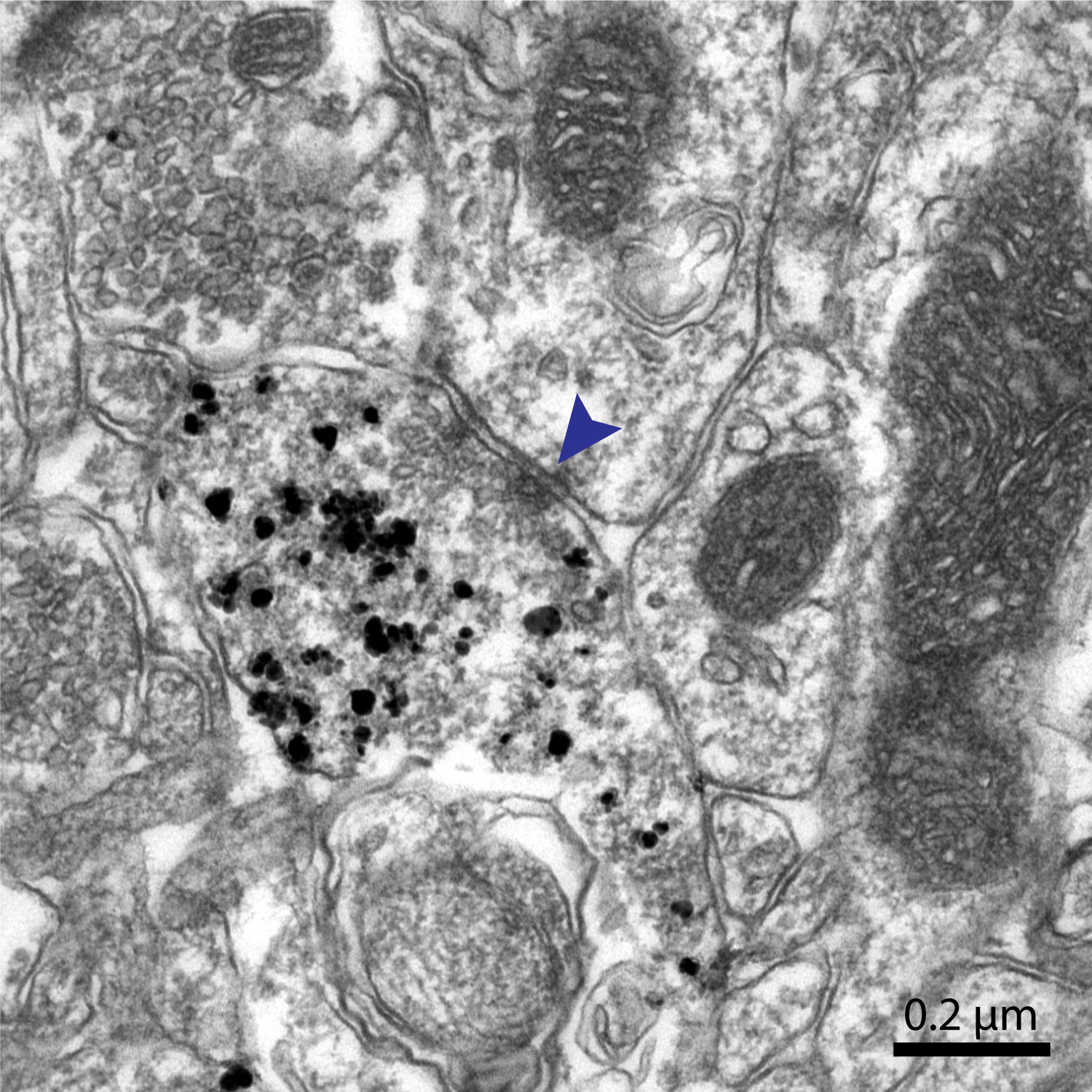
An image of the brain taken with an electron microscope.
A likely site of dopamine release in the brain, as imaged using an electron microscope. Blue arrow points to a synaptic connection.
Citation
2019. Nat. Commun., 10(1):5426.
Similar Content
Paper
Author
Roberts BM
Raina S
Bossi S
Liu AKL
McGerty K
Parkkinen L
Cragg SJ

2024. Nat Commun, 15(1):10017.

Paper
Author
Malik MY
Guo F
Asif-Malik A
Eftychidis V
Barkas N
Eliseeva E
Timm KN
Wolska A
Bergin D
Zonta B
Ratz-Wirsching V
von Hörsten S
Walton ME
Nerlov C
Minichiello L

2024. Nat Metab, 6(11):2100-2117.

Paper
Author
Garas FN
Shah RS
Kormann E
Vinciati F
Nakamura KC
Dorst MC
Smith Y
2016. eLife, 5:e16088.
Paper
Author
Roberts BM
Brimblecombe KR
Lopes EF
Siddorn RE
Threlfell S
Connor-Robson N
Bengoa-Vergniory N
Pasternack N
Wade-Martins R
Cragg SJ
2020. Nat. Commun., 11(1):4958.
Paper
Author
Pristerà A
Lin WY
Kaufmann AK
Brimblecombe KR
Threlfell S
Dodson PD
Fernandes C
Cragg SJ
Ang SL
2015.Proc. Natl. Acad. Sci. U.S.A., 112(35):E4929-38.